Unsere radiologischen Leistungen in Frankfurt (Oder)
Auf dieser Seite stellen wir die Leistungen unserer Radiologie vor.
Kontakt/Termine
Ultraschall - Sonografie
- Bauch
- Hals, Schilddrüse
- Brust
- Weichteile
Für weitere Informationen zum Ultraschall klicken Sie hier.
Mammografie
Bei der Mammografie wird eine eine Röntgenuntersuchung der Brust vorgenommen.
Für weitere Informationen zur Mammografie klicken Sie hier.
Computertomografie
Bei der Computertomografie werden Körperstrukturen mit Röntgenstrahlen dargestellt. Dabei lassen sich Organe des Bauchraumes , Lunge, Gehirn, Skelett und viele weitere Strukturen sehr detailliert abbilden.
Für weitere Informationen zur Computertomografie klicken Sie hier.
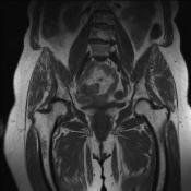
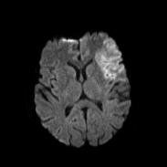
Kernspintomografie
Kernspintomografie oder auch Magnetresonanztomografie (MRT) ist ein Schnittbildverfahren, das ohne Röntgenstrahlen Organe und Gewebe darstellen lässt.
Für weitere Informationen zur MRT klicken Sie hier.
Szintigrafie
Diese Untersuchung wird in unserer Praxis nicht mehr durchgeführt.
Bei diesem nuklearmedizinisches Verfahren wird Körpergewebe bildhaft mithilfe von radioaktiven Stoffen dargestellt. Diese sammeln sich in verschiedenen Organen an. Die von ihnen abgegebene Strahlung wird gemessen und liefert Hinweise auf die Stoffwechselaktivität und Durchblutung des Gewebes.
Für weitere Informationen zur Szintigrafie klicken Sie hier.




























